Jak vyčistit rovnátka: Úplný průvodce hygienou a péčí o gumičky

Jak vyčistit rovnátka: Úplný průvodce hygienou a péčí o gumičky

Denní čištění rovnátek: Časový výpočet a kontrola

Denní čistící rutina

Následující nástroj vám pomůže odhadnout, zda věnujete dostatečný čas každému kroku vaší čistící rutiny. Podle pravidel z uvedeného článku byste měli čistit alespoň 5-10 minut denně.

1 minuta = 60 sekund
1. Propláchněte ústa vodou

Odstranění větších kousků jídla

min
2. Interdentální kartáček

Čištění pod drátem a mezi závorkami

min
3. Zobní kartáček

Čištění povrchu zubů a dásní

min
4. Zubní nit

Odstranění zbytků mezi zuby

min
5. Fluoridová pasta

Zůstání na pastě alespoň 2 minuty

min

Máte na zubech rovnátka a každé jídlo se stává malou výzvou? Není to jen o tom, aby se vám nenažralo jídlo mezi dráty. Skutečný problém začíná, když se začne tvořit plak. Pokud se o rovnátka nestaráte správně, riskujete skvrny na zubech, které zůstanou navždy. Zvuk blikajícího světla v ordinaci, když vám ortodont ukazuje, kde jste špatně vyčistili, je známo nejpříjemnější. Ale nechte to být. S tímto průvodcem zvládnete péči o rovnátka bez stresu a s jistotou, že vaše ústa zůstanou zdravá.

Proč je čištění rovnátek tak důležité

Dráty a závorky na zubech vytvářejí ideální prostředí pro bakterie. Rovnátka jsou ortodontická zařízení, která posouvají zuby do správné polohy pomocí tlaku. Tím, že pokrývají část povrchu zubu, brání vám v běžném čištění. Pokud zbytek jídla zůstane mezi drátem a zubem, bakterie se začnou množit. To vede k tvorbě plaku, který může způsobit zánět dásní nebo dokonce kazu pod samotnými závorkami.

Když se rovnátka sundají, chcete vidět krásný úsměv, ne bílé skvrny kolem míst, kde byly závorky. Tyto skvrny jsou demineralizovaná místa na sklovině, která se dají jen těžko odstranit. Prevence je zde klíčová. Čištění není jen o vzhledu, je to o zdraví vašich zubů a dásní.

Nástroje, které opravdu potřebujete

Stačí vám obyčejný kartáček? Bohužel ne. Potřebujete specifické nástroje, které dosáhnou tam, kam běžný kartáč nedosáhne. Zde je přehled toho, co by mělo být vaší výbavou.

Přehled nezbytných nástrojů pro čištění rovnátek
Nástroj Účel Častota použití
Zubní kartáček měkký kartáček s malou hlavičkou Čištění povrchu zubů a kolem závorek 3x denně
Interdentální kartáček malý kartáček na čištění mezi zuby a dráty Čištění pod dráty a mezi závorkami Po každém jídle
Zubní nit nit pro čištění mezi zuby Odstranění zbytků mezi zuby Denně před spaním
Fluoridová pasta pasta s obsahem fluoridu pro ochranu skloviny Zpevnění zubů a prevence kazu 2x denně

Interdentální kartáčky jsou klíčové. Jsou malé, s dlouhou rukojetí a dosahují tam, kam běžný kartáč ne. Někdy se nazývají také mezizubní kartáčky. Vyberte si takový, který se vejde mezi vaše zuby, aniž by bolí. Pokud je příliš velký, poškodíte dásně. Pokud je příliš malý, nevyčistí to účinně.

Krok za krokem: Denní rutina čištění

Není to jen o tom, že si vyčistíte zuby. Potřebujete systém. Zde je postup, který funguje pro většinu pacientů s pevnými rovnátky.

  1. Propláchněte si ústa vodou. Tím odstraníte větší kusy jídla, které by mohly zablokovat kartáček.
  2. Nejprve použijte interdentální kartáček. Zaměřte se na prostor pod drátem. Pohybujte kartáčkem z jedné strany na druhou. Cílem je vyčistit prostor mezi zubem a drátem.
  3. Použijte běžný zubní kartáček. Položte kartáček pod úhlem 45 stupňů k dásni. Čistěte kruhovými pohyby. Nezapomeňte čistit i vnitřní strany zubů a žvýkací plochy.
  4. Zubní nit je nezbytná. Použijte nástavec na nit (floss threader), který vám umožní provléknout nit pod dráty. Pokud nemáte nástavec, zkuste si nit provléknout sami, ale opatrně.
  5. Závěr s fluoridovou pastou. Zůstaňte na pastu alespoň dvě minuty. Nepláchněte si ústa okamžitě vodou, aby fluorid mohl působit déle.

Tento proces může trvat déle než obvyklé čištění. Počítejte s tím, že budete potřebovat alespoň 5 až 10 minut. Mějte to jako rituál, třeba si pustíte oblíbenou hudbu nebo podcast, aby to nebylo tak nudné.

Ilustrace čištění kolem drátů rovnátek pomocí speciálního kartáčku.

Speciální péče o gumičky na rovnátka

Gumičky na rovnátka jsou elastické gumové kroužky, které připevňují dráty k závorkám nebo slouží k posunu čelisti. Tyto gumičky jsou zvláštní. Jsou měkké, mají póry a snadno se na nich usazuje plak. Pokud je nevyčistíte, mohou zhnědnout nebo zčernat, což vypadá neesteticky.

Nejdůležitější pravidlo: gumičky nemůžete vyčistit kartáčkem jako zuby. Jsou křehké. Pokud je budete příliš silně tlačit, mohou se natáhnout nebo prasknout. Správný postup je následující:

  • Po jídle si ústa důkladně vypláchněte vodou.
  • Použijte interdentální kartáček velmi jemně kolem gumiček.
  • Nikdy nepoužívejte tvrdé štětiny přímo na gumu.
  • Gumičky měňte podle pokynů ortodontisty, obvykle každé ráno a večer nebo jednou denně.

Gumičky, které slouží k posunu čelisti (tzv. elastomery), se často mění častěji. Jsou to ty, které se připevňují mezi horní a dolní čelist. Ty musí být čisté, protože přenášejí tlak. Pokud jsou špinavé, mohou dráždit dásně nebo způsobit nepříjemný zápach z úst.

Jídlo a barviva: Co se vyplatí vynechat

Čištění je jen polovina bitvy. Druhá polovina je to, co do úst dáte. Některá jídla se na rovnátkách zachytávají snadněji než jiná. Také některé potraviny mohou zabarvit gumičky.

Barviva z jídla, jako je káva, čaj, červené víno nebo koření jako kurkuma, se snadno vsakují do gumiček. Pokud máte gumičky, které mají být bílé, ale vypadají žlutě, je to často kvůli kávě. I když si zuby vyčistíte, gumička si barvu pamatuje. Proto se doporučuje pít kávu nebo čaj skrze slamku a ihned si vypláchnout ústa vodou.

Také se vyhněte tvrdým nebo lepkavým jídlům. Bonbóny, žvýkačky nebo tvrdé jablko mohou uvolnit závorky. Pokud se závorka uvolní, jídlo se dostane pod ni a vytvoří se ideální místo pro bakterie. To znamená, že i když se vám zdá, že jste vyčistili, plak se tam tvoří dál.

Časté chyby, kterým se vyhnout

Mnoho lidí si myslí, že když si vyčistí zuby, je to hotovo. To je největší omyl. Zde jsou chyby, které se často dějí:

  • Ignorování dásní. Čistit jen zuby nestačí. Dásně kolem rovnátek jsou citlivé a náchylné ke zánětu. Pokud krvácejí, musíte čistit pečlivěji, ne méně.
  • Používání tvrdého kartáčku. Tvrdé štětiny mohou poškodit sklovinu a dásně. Vždy používejte měkký kartáček.
  • Nedostatek času. Spěch je nepřítel hygieny. Pokud nemáte čas na 10 minut, raději si vyčistěte zuby důkladněji jednou denně, než rychle třikrát.
  • Zapomínání na jazyk. Na jazyku se také tvoří bakterie. Použijte škrabku na jazyk, abyste snížili celkovou bakteriální zátěž v ústech.

Je také důležité pravidelně navštěvovat zubního hygienistku. I když si myslíte, že čistíte dobře, profesionální čištění odstraní ztvrdlý plak (kamínky), který už sami neodstraníte. To se doporučuje každé 3 až 6 měsíců.

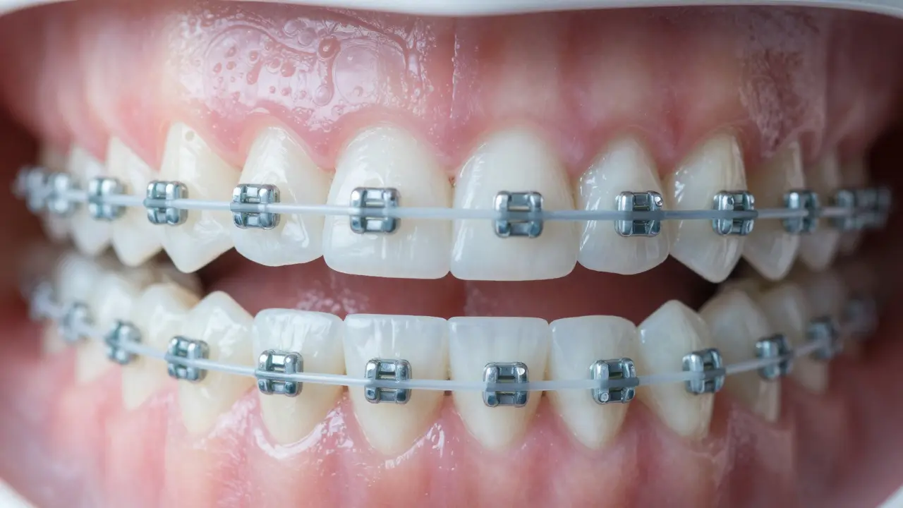
Makro záběr čistých zubů s rovnátky a bílými gumičkami.

Co dělat, když se vám něco uvolní

Stane se to každému. Závorka se uvolní, drát se protrhne nebo gumička vypadne. V takovém případě nemůžete čistit normálně. Pokud je drát ostrý, může poranit tvář. Použijte vosk na rovnátka, který zakryje ostrou část.

Čištění v takové situaci je složitější. Pokud je závorka volná, jídlo se tam snadno dostane. Zkuste ji vypláchnout vodou a nepoužívejte příliš silný tlak kartáčku, abyste ji nevytáhli úplně. Okamžitě kontaktujte svého ortodontistu. Čím déle čekáte, tím větší je riziko poškození zubu nebo posunu zubu do špatné polohy.

Tipy pro cestování a mimo domov

Co když jste na cestách a nemáte přístup k vaší běžné výbavě? Mějte vždy v batohu nebo kabelce cestovní sadu. Ta by měla obsahovat:

  • Malý zubní kartáček.
  • Miniaturní tubu pasty.
  • Malé balení interdentálních kartáčků.
  • Zubní nit.

Někdy stačí jen vypláchnout ústa vodou, když nemůžete čistit. Ale nezapomínejte, že to není náhrada za čištění. Pokud jste na večeři s přáteli a nemůžete jít na toaletu, alespoň si vypláchněte ústa vodou a zkuste si vyčistit zuby co nejdříve po návratu.

Závěr: Trpělivost se vyplatí

Péče o rovnátka je náročná, ale výsledky stojí za to. Po roce nebo dvou letech, kdy se rovnátka sundají, budete mít úsměv, na který budete hrdí. Ale jen pokud se o zuby staráte správně. Nezapomínejte na gumičky, používejte správné nástroje a buďte důslední. Vaše budoucí já vám poděkuje.

Jak často si mám čistit zuby s rovnátky?

Ideální je čistit si zuby po každém jídle, tedy alespoň třikrát denně. Pokud to nejde, určitě ráno a večer před spaním. Po večeři je čištění nejdůležitější, protože během noci se bakterie množí nejrychleji.

Můžu používat běžný zubní kartáček?

Ano, ale doporučuje se kartáček s malou hlavičkou a měkkými štětinami. Existují také speciální kartáčky na rovnátka s výřezem uprostřed, který usnadňuje čištění kolem drátů. Běžný kartáček může být méně efektivní.

Jak čistit gumičky na rovnátka?

Gumičky čistěte velmi opatrně pomocí interdentálního kartáčku. Není dobré je čistit silně, protože se mohou roztáhnout. Nejlepší je je pravidelně měnit podle doporučení ortodontisty, obvykle každé ráno a večer.

Co dělat, když mám krvácející dásně?

Krvácení dásní je často známkou zánětu způsobeného plátem. Neměli byste přestat čistit, naopak musíte čistit pečlivěji, ale jemněji. Pokud krvácení přetrvává déle než týden, navštivte zubního lékaře nebo hygienistku.

Můžu jíst s rovnátky všechno?

Ne, s rovnátky byste měli vyhnout tvrdým, lepkavým a barvivým jídlům. Tvrdé potraviny mohou uvolnit závorky, lepkavé se drží na drátech a barviva mohou zbarvit gumičky. Jezte měkká jídla a kousejte opatrně.