Jak se pozná prasklý zub? Příznaky, které byste neměli ignorovat

Jak se pozná prasklý zub? Příznaky, které byste neměli ignorovat

Nástroj pro diagnostiku praskliny na zubu

Zvolte příznaky, které jste zaznamenali

Prasklý zub se neobjeví náhle, ale postupně. Často ho přehlédnete, protože nebolí hned. Ale když začne bolet jen při kousnutí, nebo když cítíte ostrou reakci na studené nebo horké jídlo, už to není jen tak. To může být první varovný signál, že máte prasklinu na zubu - a čím dřív ji objevíte, tím méně si ji budete muset léčit.

Co vlastně prasklý zub znamená?

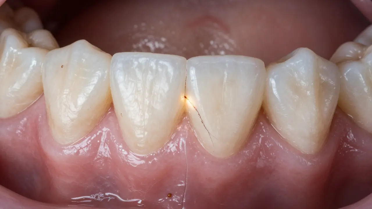
Prasklý zub není vždy vidět. Někdy je to jen ten tenký štěr, který se táhne od vrcholku zubu k jeho kořeni - a nevidíte ho ani v zrcadle. Takové praskliny se nazývají praskliny na zubech a většinou vznikají kvůli opakovanému tlaku. Například když štěkáte nebo zubním křemíkem, když se v noci bradavkujete, nebo když máte zuby silně zatížené zubními náhradami. Zuby nejsou kámen. Jsou živé tkáně, které se mohou poškodit i bez viditelného zlomení.

Praskliny se dělí podle hloubky. Nejčastější jsou krátké povrchové praskliny - ty obvykle nebolí a nevyžadují léčbu. Ale když prasklina začne sahat do dentinu nebo dokonce do pulpy (měkkého jádra zubu), začíná být problém. V tom okamžiku se do zubu dostávají bakterie, vzniká zánět a časem i infekce.

Jaké příznaky ukazují, že máte prasklý zub?

Není to jako když si zlomíte zub a vidíte to. Prasklina se projevuje jemněji. Tady je seznam těch nejčastějších příznaků:

  • Bolest při kousnutí - zvláště když uvolníte zub z kousnutí. Při kousnutí se prasklina otevře, když uvolníte tlak, zub se zavře a vzniká ostrá bolest. To je klasický příznak.
  • Citlivost na teploty - studená voda nebo horký čaj vás náhle zasáhne, jako by se vám zub „zalil“. To není jen citlivost zubů, to je signál, že prasklina propouští podněty až k nervu.
  • Bolest, která přichází a odchází - není tam pořád, ale přijde vlnami. Někdy dva dny nic, pak znovu bolest při kousnutí. To je typické pro začínající praskliny.
  • Červená nebo zduřelá dásň - když prasklina sahá až k kořeni, může se kolem něj začít hromadit infekce. Dásň se může zčervenat, zduřet a dokonce se může objevit hnis.
  • Neznámý zápach z úst - pokud se v prasklině hromadí potrava a bakterie, může se objevit trvalý zápach, který nezmizí ani po čištění zubů.

Nezapomeňte: tyto příznaky neznamenají automaticky prasklý zub. Ale když se vyskytují dohromady, je to silný signál, že byste měli jít k zubnímu lékaři. Nečekat, až to bolí víc.

Proč je prasklý zub nebezpečný?

Prasklina není jen o bolesti. Je to jako malá díra, která se zvětšuje. Když se do ní dostanou bakterie, začnou ničit zub zevnitř. Většina lidí si myslí, že když zub nebolí, není nic špatně. Ale prasklina se může rozšířit bez bolesti - až do okamžiku, kdy se zub rozpadne nebo se infekce dostane až k kosti.

Infekce z praskliny může vést k:

  • abscesu - hnisavému hnízdu kolem kořene, které může způsobit otok tváře, horečku a dokonce problémy s dýcháním
  • ztrátě zubu - pokud se prasklina rozšíří příliš hluboko, zub už nelze zachránit
  • šíření infekce do jiných zubů - bakterie se mohou přesunout na sousední zuby nebo na dásně

Podle studie z Journal of Endodontics se až 38 % lidí s prasklinami na zubech do pěti let dopracuje k úplné ztrátě zubu, pokud nezachytí prasklinu včas. To není malé číslo. A většina z nich si toho vůbec nevšimla, dokud nebylo pozdě.

Zvětšený pohled na zub s prasklinou, která proniká do vnitřních vrstev, s bakteriemi proudícími dovnitř.

Co dělat, když podezříváte prasklý zub?

Nechte si zub zkontrolovat. Nečekat, až to bolí víc. Zubař má nástroje, které vidí praskliny, které vy nevidíte.

Nejčastější metody diagnostiky:

  • Zrcátko a světlo - zubař prohlédne zub pod různými úhly a hledá drobné odlesky nebo stíny, které naznačují prasklinu.
  • Stylový test - použije tenký nástroj, kterým opatrně prochází po povrchu zubu. Pokud se nástroj zasekne nebo zub „odpoví“ bolestí, je to indikace.
  • Diagnostické barvivo - někdy se na zub nanese speciální barva, která se zadrží v prasklině a zviditelňuje ji.
  • Rentgen - ne vždy ukáže prasklinu, ale může odhalit změny v kosti kolem kořene, které naznačují infekci.

Někdy stačí jen pozorování. Pokud je prasklina jen povrchová a nebolí, zubař vás může jen sledovat. Ale když je hlubší, bude potřeba léčba.

Co se dělá s prasklým zubem?

Řešení závisí na tom, jak hluboká je prasklina.

  • Povrchová prasklina - obvykle se nechá tak, jak je. Může se jen vyhladit lehkým polérováním. Nebo se použije kompozitní plomba, která prasklinu uzavře.
  • Prasklina do dentinu - potřebujete plombu nebo korunku. Korunka obalí zub jako kryt a zabrání dalšímu šíření praskliny.
  • Prasklina až k nervu - potřebujete kořenovou léčbu. Zub se očistí, infekce se odstraní a zub se uzavře. Poté se obvykle dá korunka.
  • Velmi hluboká prasklina - pokud se zub rozpadl nebo je infekce příliš velká, zubař doporučí vytažení. To je poslední možnost, ale někdy je to jediná.

Nezapomeňte: žádná léčba nezamezí tomu, že by se prasklina mohla znovu objevit. Ale správně provedená léčba zastaví její šíření a zachrání zub na mnoho let.

Člověk kousá jablko, zatímco skrytá prasklina v zubu se šíří jako blesk, symbolizující zpožděnou diagnózu.

Jak prasklinám předcházet?

Nejlepší léčba je prevence. Tady je, co můžete dělat každý den:

  • Nešťakávejte - pokud máte zvyk šťakat nebo bradavkovat, zkusíte ho přestat. Používejte ochrannou dlažbu, pokud to děláte během spánku.
  • Nesnížte tvrdé potraviny - nekousněte led, ořechy v skořápce nebo kosti. I když to zvládnete, zuby na to nejsou navržené.
  • Chraňte zuby před nárazy - pokud sportujete, nosíte ochranný štít. I když to není běžné, zubní zranění se dějí i při běžném sportu.
  • Pravidelné prohlídky - každých 6 měsíců. Zubař uvidí prasklinu dřív, než ji uvidíte vy.
  • Neignorujte citlivost - když vás něco na zubu začne trápit, nečekáte. Jděte na kontrolu.

Co dělat, když už máte prasklý zub?

Pokud jste si všimli příznaků, ale ještě jste nebyli u zubaře:

  • Vyhněte se extrémním teplotám - nepijte ledovou vodu ani horký čaj, dokud nejste v lékárně.
  • Nejedzte na té straně - pokud víte, který zub vás trápí, kousněte na druhou stranu.
  • Nečistěte agresivně - nepoužívejte tvrdé kartáče a nepřehánějte čištění. Můžete prasklinu ještě více poškodit.
  • Používejte citlivostní pasta - může dočasně zmírnit bolest. Ale není to řešení - jen dočasná úleva.

Nejde o to, jak moc to bolí. Jde o to, jestli se prasklina šíří. A to zjistíte jen u zubaře.

Může prasklý zub bolět jen občas?

Ano, to je časté. Praskliny často způsobují přerušovanou bolest - občas při kousnutí, jindy vůbec ne. To neznamená, že je v pořádku. Naopak, přerušovaná bolest je často příznakem, že prasklina se pomalu šíří.

Může prasklina vzniknout i u plombovaného zubu?

Ano. Plomba nezpevní zub proti prasklinám. Dokonce se může stát, že prasklina vznikne pod plombou, protože zub pod ní je oslabený. Zubař to zjistí při prohlídce nebo na rentgenu.

Je prasklý zub považován za zubní nouzi?

Pokud máte ostrou bolest, otok nebo hnis, ano - je to zubní nouze. Pokud je bolest jen při kousnutí a nejsou žádné jiné příznaky, není to nouze, ale je to příležitost, abyste se nechali prohlédnout co nejdříve. Čím dříve, tím jednodušší a levnější léčba.

Může prasklina vzniknout jen z jednoho nárazu?

Ano. Například když si kousnete na tvrdý kámen v jídlu, nebo když se náhle zasáhnete do tváře. Ale častěji vznikají postupně z opakovaného tlaku - jako bradavkování nebo šťakání.

Může prasklina vzniknout i u zubů, které už mají kořenovou léčbu?

Ano. Zuby po kořenové léčbě jsou křehčí, protože jim chybí krevní zásobování. Jsou náchylnější k prasklinám, a proto se jim často doporučuje korunka, aby se předešlo poškození.