Jak vypadá zubní můstek? Všechno, co potřebujete vědět o vzhledu, fungování a náhradě chybějících zubů

Jak vypadá zubní můstek? Všechno, co potřebujete vědět o vzhledu, fungování a náhradě chybějících zubů

Srovnání náhrad zubů

Zvolte své předpoklady

Vyplňte několik základních informací, abychom vám doporučili nejlepší možnost pro náhradu vašich zubů.

Vaše doporučení

Srovnání možností

Můstek Fazety Implantát
Náklady
Potřeba poškození zubů
Trvanlivost
Doba návštěvy
Rychlost řešení

Proč jsme doporučili tuto možnost?

Když vám chybí jeden nebo více zubů, nejde jen o estetiku. Každý chybějící zub změní způsob, jakým žvýkáte, mluvíte a dokonce jak se vám rozloží zátěž na zbylé zuby. Zde je, kde přichází na řadu zubní můstek - jedna z nejčastějších a nejspolehlivějších možností náhrady. Ale jak vlastně vypadá? A proč ho lidé volí před jinými řešeními, jako jsou fazety nebo implantáty?

Co je vlastně zubní můstek?

Zubní můstek je trvalá protéza, která nahrazuje jeden nebo více chybějících zubů. Nejde o odnímatelnou zubní protézu, ale o pevnou konstrukci, kterou lékař připevní k sousedním zubům - těm, které jsou ještě zdravé. Tyto sousední zuby se nazývají opěrné zuby a slouží jako nosné pilíře, podobně jako opěrné pilíře u mostu přes řeku. Mezi nimi je připevněn umělý zub (nebo zuby), který plní funkci chybějícího zubu.

Typický můstek se skládá ze tří částí: dvou krunýřů (které obalují opěrné zuby) a jednoho nebo více mezilehlých zubů (tzv. pontiků). Pokud chybí tři zuby za sebou, můstek bude mít pět částí: dva krunýře na koncích a tři mezilehlé zuby. Všechny tyto části jsou vyrobeny z jednoho kusu, obvykle z keramiky, zlata nebo kombinace těchto materiálů.

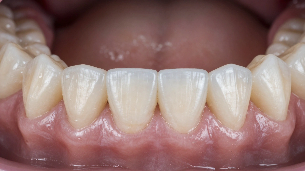
Jak vypadá zubní můstek na zubech?

Když se podíváte do zrcadla, můstek vypadá jako přirozená řada zubů. Krunýře na opěrných zubech jsou přesně tvarované, aby se vyrovnaly s okolními zuby. Pontiky - mezilehlé zuby - jsou vyrobeny tak, aby odpovídaly barvě, tvaru a velikosti vašich přirozených zubů. Výsledek je tak přirozený, že většina lidí si nevšimne, že jde o náhradu.

Na rozdíl od fazet, které jen přikládají tenkou vrstvu keramiky na povrch zubu, můstek přesahuje prostor chybějícího zubu a plně ho nahrazuje. Fazety se používají k vylepšení vzhledu zubů, které jsou stále na místě - například k zákrytí skvrn, poškození nebo nepravidelného tvaru. Můstek se používá, když zub úplně chybí.

Moderní můstky z keramiky jsou tak průhledné a přirozené, že je těžké odlišit od přirozených zubů i pod světlem zubního lustru. Některé kliniky používají technologii CAD/CAM, která umožňuje vytvořit přesný digitální model vašich zubů a vytisknout můstek s přesností na mikrometry.

Co se děje s opěrnými zuby?

Tady je klíčový bod, který mnozí lidé přehlížejí: abyste mohli mít můstek, musíte obětovat zdravé zuby. Každý opěrný zub musí být zmenšen - odsázený - aby do něj mohl být nasazen krunýř. To znamená, že i když je zub zcela zdravý, část jeho skloviny a zubní hmoty se odstraní, aby se připravil pro krunýř.

Tento proces je trvalý. Jakmile se zub zmenší, už nikdy nemůže být vrácen do původního stavu. Pokud by se krunýř v budoucnu poškodil nebo vyžadoval výměnu, zub bude potřebovat nový krunýř nebo dokonce jinou náhradu.

To je důvod, proč se mnoho zubních lékařů dnes raději doporučuje implantáty, pokud je to možné. Implantát nahrazuje kořen zubu a nevyžaduje poškození sousedních zubů. Ale pokud nemáte dostatek kosti nebo nemůžete si dovolit implantát, můstek zůstává výbornou volbou.

Co je lepší: můstek nebo fazety?

Fazety a můstky se často zaměňují, ale jsou zcela jiné výrobky. Fazety jsou tenké keramické plátky, které se lepí na přední povrch zubů. Používají se k vylepšení barvy, tvaru nebo uspořádání zubů, které jsou stále na místě. Nejsou určeny k nahrazování chybějících zubů.

Pokud máte mezery mezi zuby nebo chybí zub, fazety nejsou řešením. Fazeta se nevztahuje na prostor, kde zub chybí - je to jen „nálepka“ na existující zub. Můstek je jediná možnost, jak opravdu doplnit chybějící zub a obnovit funkci žvýkání a řeči.

Ještě jednou: fazety = vylepšení existujících zubů. Můstek = náhrada chybějícího zubu.

Zubní lékař instaluje keramický můstek v moderní klinice s digitální technologií.

Jak dlouho trvá zubní můstek?

Moderní zubní můstky z kvalitní keramiky mohou vydržet 10 až 15 let, někdy i déle. Je to ale otázka péče. Pokud se nebudete pravidelně čistit, nebudete chodit na kontrolní prohlídky a budete žvýkat tvrdé věci - jako ořechy, kosti nebo led - můstek se může poškodit dříve.

Největší hrozba pro můstek není samotný materiál, ale zdraví opěrných zubů. Pokud se kolem opěrných zubů vyvine zánět dásní nebo karies, můstek může ztratit oporu a spadnout. Proto je důležité čistit mezery mezi zuby a můstkem pomocí mezizubních kartáčků nebo vodního čističe. Pouze kartáček nestačí.

Podle studie z Journal of Prosthetic Dentistry z roku 2023 byly 87 % můstků po 10 letech stále funkční, pokud pacienti dodržovali pravidelnou hygienu. U těch, kteří ne, byla většina můstků po 7 letech potřeba vyměnit.

Co je lepší: můstek nebo implantát?

Implantát je zlatý standard pro náhradu chybějících zubů. Je to titanový šroub, který se zasune do čelisti a slouží jako umělý kořen. Na něj se pak připevní korunka, která vypadá a funguje jako přirozený zub.

Advantáž implantátu: nezničí sousední zuby. Je to nezávislá náhrada. Nevýhoda: vyžaduje dostatek kosti, léčba trvá 3-9 měsíců a je dražší.

Můstek je rychlejší, levnější a nevyžaduje operaci. Ale výhoda je i jeho nevýhodou - musíte poškodit zdravé zuby. Pokud máte dobré zdraví dásní a kosti, implantát je lepší volbou. Pokud chcete rychlé řešení a nemůžete si dovolit operaci nebo dlouhou léčbu, můstek je skvělá alternativa.

Ve městech jako Brno se dnes čím dál tím více lidí rozhoduje pro implantáty. Ale v mnoha případech, zejména u starších pacientů nebo u těch, kteří potřebují rychlou náhradu, můstek zůstává nejčastější volbou.

Je můstek vidět na fotografii?

Ne. Pokud je můstek správně vyrobený a barva je přesně vybraná podle vašich přirozených zubů, není vidět ani na selfie. Moderní keramika má přirozenou průhlednost, která se chová stejně jako sklovina vašich vlastních zubů. Dokonce i pod silným světlem se můstek nerozliší od přirozeného zubu.

Na rozdíl od starších můstků z kovu, které měly tmavou čáru u dásně, dnešní keramické můstky mají hranu přesně na hranici dásně - takže není vidět žádný „kraj“.

Na základě vlastních zkušeností z kliniky v Brně: když pacienti po několika letech přijdou na kontrolu a ukážou mi fotografie z dovolené, často se ptají: „Nevšiml jste si, že tam nějaký zub chybí?“ A já jim odpovídám: „Ne, vůbec ne.“

Konceptuální obrázek zubního můstku s viditelnou vnitřní strukturou mezi zdravými zuby.

Co dělat, když můstek spadne?

Spadnutí můstku není běžné, ale může se stát, pokud dojde k poškození opěrných zubů, kariésu pod krunýřem nebo k přílišné zátěži. Pokud se stane, nechte můstek na místě - nezkoušejte ho znovu nasadit sami.

Okamžitě se obrátěte na zubního lékaře. Pokud je můstek poškozený, může být nutná výměna. Pokud je v pořádku, může být znovu přilepen. Ale než se to udělá, lékař musí zkontrolovat, zda opěrné zuby nejsou poškozené.

Nikdy nezkoušejte přilepit můstek doma pomocí lepidla z lékárny. To může poškodit zubní tkáň nebo způsobit infekci.

Je můstek vhodný pro každého?

Není. Pokud máte zdravotní problémy, jako je těžká periodontitida, závažná kariésa nebo nevhodná struktura čelisti, můstek není vhodný. Také pokud máte několik zubů za sebou chybějících - například čtyři nebo více - můstek není vhodný. V takovém případě se doporučuje implantát nebo částečná protéza.

Prostě řečeno: můstek funguje dobře, pokud máte jeden až tři chybějící zuby za sebou a zdravé zuby na obou stranách. Pokud je to jinak, existují jiné možnosti.

Co je nejlepší pro vás?

Zvolit správnou náhradu zubu není jen otázka ceny. Je to otázka vašeho zdraví, životního stylu a dlouhodobých cílů. Pokud chcete co nejdelší životnost, nezničit zdravé zuby a nebojíte se operace - zvažte implantát. Pokud chcete rychlé, spolehlivé a cenově přístupné řešení a máte vhodné zuby vedle - můstek je skvělá volba.

Nezapomeňte: každá náhrada zubu je trvalá rozhodnutí. Nezahálejte s volbou. Zkontrolujte si zdraví dásní, nechte si udělat rentgen a poraďte se s lékařem, který vám ukáže všechny možnosti - ne jen tu, která je nejlevnější.

Chybějící zub není jen estetický problém. Je to problém, který může vést k posunutí ostatních zubů, problémům s žvýkáním, bolestem čelisti a dokonce ke změně tváře. Náhrada není volba - je to nutnost.

Je zubní můstek vidět na fotografii?

Ne, pokud je můstek vyrobený z moderní keramiky a správně zbarvený podle vašich přirozených zubů. Dnešní můstky mají přirozenou průhlednost a hranu na hranici dásně, takže se neodlišují od vlastních zubů ani na blízko ani na fotografii.

Je nutné poškodit zdravé zuby pro můstek?

Ano. Pro instalaci můstku je nutné zmenšit sousední zuby, aby se do nich vešly krunýře. To je trvalé poškození - zub už nikdy nebude stejný jako předtím. Proto je důležité zvážit, zda implantát není lepší volbou.

Jak dlouho vydrží zubní můstek?

Správně vyrobený a pečlivě udržovaný můstek vydrží 10-15 let, někdy i déle. Klíčem je pravidelná hygiena, kontrolní prohlídky a vyhýbání se tvrdým potravinám. Pokud se opěrné zuby poškodí, můstek může selhat dříve.

Je můstek lepší než fazety?

Ne, to jsou dvě různé věci. Fazety se používají k vylepšení zubů, které jsou stále na místě. Můstek slouží k nahrazení chybějícího zubu. Fazety nemohou nahradit zub, který chybí.

Co dělat, když můstek spadne?

Nevyhazujte ho a nepokoušejte se ho přilepit doma. Uložte ho do vody nebo do krabičky a okamžitě se obraťte na zubního lékaře. Lékař zkontroluje, zda je můstek poškozený a zda jsou opěrné zuby stále zdravé.