Kalkulačka rizika trhání zubů moudrosti
Výsledek analýzy
Víte, že až 85 % lidí zažije problémy se zuby moudrosti? Když se tyto poslední třináctky objeví, často se objevují bolest, otok a dokonce i infekce. Nenechte se překvapit - pochopte, proč se zuby moudrosti trhají, a zjistěte, jaké kroky můžete podniknout, než se situace vymkne kontrole.
Klíčové body
- Zub moudrosti je třináctý molár, který často nemá dostatek místa knormálnímu růstu.
- Trhání nastává kvůli stlačení, špatné úhlu erupce a zánětu okolní tkáně.
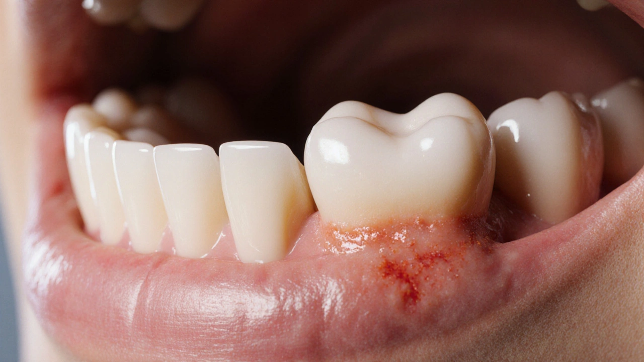
- První příznaky jsou bolest, otok dásní a červené skvrny.
- Rentgenové vyšetření odhalí polohu a sklon zubu, což pomáhá rozhodnout odalším postupu.
- Možnosti léčby zahrnují sledování, ortodontické úpravy nebo extrakci - výběr závisí na individuální situaci.
Co je zub moudrosti?
Zub moudrosti je poslední velký molár, který se obvykle objeví mezi 17. a 25. rokem života. Patří mezi tzv. třináctky a jeho úkolem je drtět potravu, podobně jako ostatní moláry. V evoluci lidí se prostor včelisti postupně zmenšoval, takže tento zub často postrádá dostatek místa knormální erupci.
Proč dochází ktrhání zubů moudrosti?
Existuje několik hlavních příčin, proč se zub moudrosti začne „trhat“:
- Bezprostřední nedostatek místa - Kosti čelisti, zejména čelist (přední část úst, která drží zuby), nejsou dostatečně široké. Zub tak vyvíjí tlak na sousední zuby a dásně.
- Špatný úhel erupce - Zub může růst pod úhlem, kdy se jeho koronka snaží prorazit dásně, ale setkává se stvrdou kostí. Tento proces způsobuje bolest a otok.
- Částečná erupce (partial eruption) - Když se zub částečně objeví, zůstává část korunky zakrytá a vytváří uzavřený prostor, kde se snadno hromadí bakterie, což vede kinfekci.
Tyto faktory často konvergují, což vyvolává zánět okolní tkáně - infekce (nahromadění bakterií a zánětlivá reakce) - a vněkterých případech i tvorbu abscesu.
 
Příznaky a komplikace
Nejčastější varovné signály, že se zub moudrosti trhá, jsou:
- Bolest vzadní části čelisti, často jednorázově, ale může se opakovat.
- Otékání dásní okolo zubu, někdy se objeví i otok (zvětšená oblast dásní, citlivá na dotek).
- Červené nebo bílá skvrna na dásních, která může být známkou zánětu.
- Obtížnost při žvýkání na jedné straně úst.
- Špatný dech nebo nepříjemná chuť, pokud se vytvoří hnis.
Pokud se infekce rozšíří, může dojít ke komplikaci zvané absces (lokální hnisavý výpotek pod dásní), která vyžaduje urgentní lékařský zásah.
Jak diagnostikovat problém?
Diagnóza začíná klinickým vyšetřením u dentisty (zubaře, který provádí vyšetření a ošetření zubů). Pro přesné určení polohy a sklonu zubu se často používá rentgenové vyšetření:
- rentgen (radiologické snímky zachycující struktury čelistí a zubů) ukáže, zda je zub kompletně nebo částečně erupovaný.
- 3D sken (CT) poskytuje detailnější obraz, pokud je podezření na sousední poškození.
Na základě těchto snímků odborník rozhodne, zda je možné zub nechat pod dohledem nebo zda je nutná intervence.
Možnosti řešení
Existují tři hlavní přístupy křešení trhání zubů moudrosti:
| Možnost | Výhody | Nevýhody | Typický časový rámec | 
|---|---|---|---|
| Pozorování a pravidelné kontroly | Žádný chirurgický zákrok, nízké náklady | Riziko zhoršení příznaků, možné komplikace | 6-12měsíců | 
| Ortodontické úpravy | Umožňuje zachovat zub, může zlepšit celkový skus | Delší doba léčby, vyšší náklady, ne vždy vhodné | 12-24měsíců | 
| Extrahování (extraction) | Rychlé odstranění příčiny bolesti, snižuje riziko infekce | Chirurgické riziko, dočasná bolest, možná potřeba antibiotik | Jednorázový zákrok, následná rekonvalescence 1-2 týdny | 
Rozhodnutí, která cesta je nejlepší, závisí na věku, stavu čelisti a osobních preferencích. Pokud jsou příznaky mírné a zub roste voptimálním úhlu, často stačí trhání zubů moudrosti řešit pozorováním. V případech, kdy dochází k opakovaným infekcím nebo poškození sousedních zubů, lékař obvykle doporučí extrakci.
 
Co očekávat po extrakci?
Po zákroku je důležité dodržovat pokyny dentisty:
- Po 24hodinách se nečistí oblast v řádku, aby se vytvořil krevní sraženina.
- Po 48hodinách lze jemně vypláchnout slinou s teplou vodou a solí (½ lžičky soli na sklenici vody).
- V případě infekce může dentista předepsat antibiotikum (lék bojující s bakteriální infekcí) na 5-7dnů.
- Vyhýbejte se tvrdým potravinám, používání brčko a kouření po dobu alespoň 48hodin.
Většina pacientů se během týdne cítí lépe a během dvou týdnů může normálně žvýkat.
Prevence a tipy pro zdravé čelisti
Prevence není vždy možná, ale můžete snížit pravděpodobnost komplikací:
- Udržujte ústní hygienu - čistěte zuby minimálně dvakrát denně, zaměřte se i na zadní část čelisti.
- Navštěvujte dentistu pravidelně, ideálně každých 6měsíců, aby mohl sledovat vývoj zubů moudrosti.
- U mladších dospělých (18-25let) se často doporučuje předběžná rentgenová kontrola, aby se předešlo náhlému trhání.
- V případě první bolesti zubů moudrosti neváhejte konzultovat, protože rychlý zásah může předejít větším komplikacím.
Souhrn
Trhání zubů moudrosti je častý jev způsobený nedostatkem místa v čelisti, špatným úhlem růstu a částečnou erupcí. Příznaky zahrnují bolest, otok a možnou infekci. Diagnostiku provádí dentista pomocí klinického vyšetření a rentgenových snímků. Léčba může spočívat vpozorování, ortodontických úpravách nebo extrakci, přičemž volba závisí na individuální situaci. Dodržování správné ústní hygieny a pravidelných kontrol pomáhá předcházet komplikacím.
 
                 
                         
                                 
                                