Jak vypadá mezizubní kaz? Příznaky, příčiny a co s tím dělat

Jak vypadá mezizubní kaz? Příznaky, příčiny a co s tím dělat

Výpočet rizika mezizubního kazu

Zjistěte, jak velké je vaše riziko vývoje mezizubního kazu na základě vašich ústních zdravotních návyků. Mezizubní kaz je často nezaznamenaný, ale snadno předvídatelný. Podle výsledků vám připravíme osobně vymezené doporučení.

Mezizubní kaz je jedna z nejčastějších, ale také nejvíce přehlížených zubních chorob. Mnoho lidí si myslí, že pokud nebolí zuby a nevidí černé skvrny na povrchu, jsou v pořádku. Ale právě mezi zuby, kde se štětěcina kartáčku těžko dostane, se kaz často začíná. A nejhorší je, že ho můžete mít měsíce, aniž byste o něm věděli.

Co vlastně mezizubní kaz je?

Mezizubní kaz je forma rozkladu zubní skloviny a dentinu, která vzniká přesně v místě, kde se dva zuby dotýkají. V této úzké mezeře se hromadí zbytky jídla, bakterie a plak. Bakterie v plaku přeměňují cukry na kyseliny, které pomalu rozežírají sklovinku. Když se kaz dostane hlouběji, začne poškozovat dentin - vrstvu pod sklovinkou - a pak se blíží k zubnímu nervu.

Na rozdíl od kazu na čelní ploše zubu, který je vidět, mezizubní kaz se skrývá. Nevidíte ho, protože je v úzkém prostoru mezi zuby. Až do chvíle, kdy se stane větším, nebo když začne bolet, si ho nevšimnete. Většinou ho objeví zubař při rentgenovém snímku - a už je pozdě.

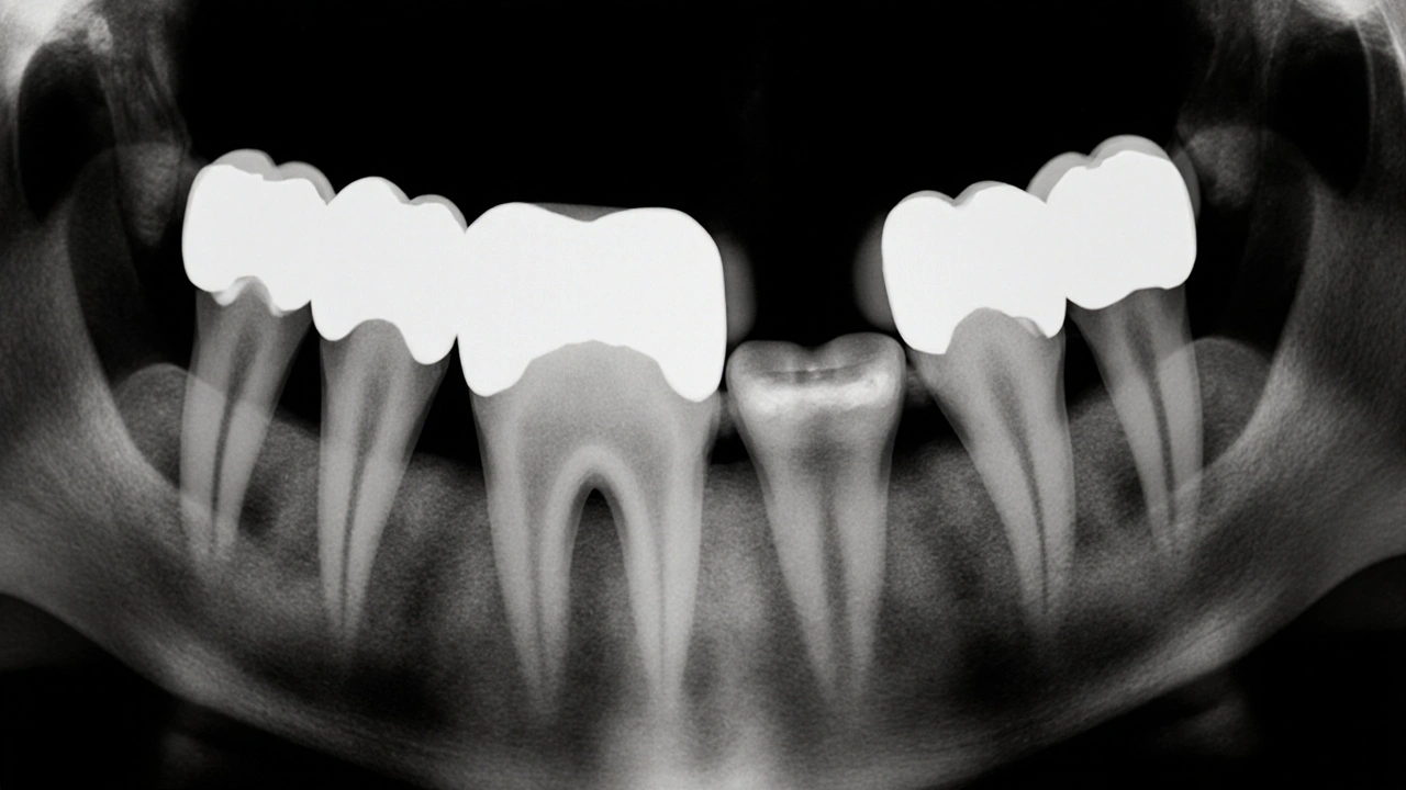
Jak vypadá mezizubní kaz na rentgenovém snímku?

Na běžném panoramatickém nebo bitewingovém rentgenovém snímku vypadá mezizubní kaz jako tmavá šmouha nebo malá dutina mezi dvěma zuby. Zdravá sklovina je na snímku bílá a hustá - jako když se podíváte na bílou dlažbu. Kaz je naopak šedá nebo černá oblast, která vypadá jako „díra“ v zubu. Čím větší je ta tmavá oblast, tím hlouběji se kaz rozšířil.

Na začátku je kaz jen tenká čára mezi zuby - zhruba 1-2 mm široká. To je ještě včas na zastavení. Když se rozšíří na více než 3 mm, už je třeba plombovat. A pokud se dostane až k zubnímu nervu, může být potřeba kořenové léčení nebo dokonce vytažení zubu.

Co můžete cítit, když máte mezizubní kaz?

Na začátku nebojíte. Žádná bolest. Žádný zápach. Žádný zvýšený citlivost. To je právě to, co ho dělá nebezpečným. Ale jak se kaz rozvíjí, objeví se tyto příznaky:

  • Bolest při jídle - zvláště když se do mezery zasune něco tvrdého, jako je oříšek nebo mrkev
  • Citlivost na studené nebo horké jídlo, která trvá déle než pár sekund
  • Červená, zánětlivá dásen mezi zuby, která krvácí při čištění
  • Chutnáte sladkou nebo kyselou chuť v ústech, i když jste nic nejedli
  • Možná i zápach z úst, který nezmizí i po čištění

Nejčastější chyba? Lidé si myslí, že když dásně krvácí, je to jen „zánět dásní“ a nevědí, že to může být příznak, že pod nimi už je kaz. Dásně nekrvácí jen proto, že je čistíte příliš tvrdě - krvácení je často první varovný signál, že něco není v pořádku pod povrchem.

Průřez dvěma zuby s rozvíjejícím se kazem v mezeře a zánětlivou dásní na pozadí.

Kdo má největší riziko mezizubního kazu?

Není to jen o tom, jak často si čistíte zuby. Mezizubní kaz se objevuje u lidí, kteří:

  • Nečistí mezery mezi zuby - ani nití, ani mezizubní kartáček
  • Pijí hodně sladkých nápojů - i když jde o „zdravé“ limonády nebo ovocné šťávy
  • Mají těsně zpět zuby - mezery jsou tak malé, že se do nich zasune jen tenká nit
  • Nechodí k zubaři dvakrát ročně - a nechávají, aby se kaz rozvíjel bez kontroly
  • Mají zubní náhrady, které nejsou správně přizpůsobené - mezi nimi se hromadí plak

Ve věku 25-45 let je mezizubní kaz nejčastější. Ale děti i starší lidé ho mají stejně často - jen se projevuje jinak. U dětí se často objevuje mezi prvními trvalými zuby, u starších lidí mezi zuby, které už mají odhalené kořeny.

Co dělat, když máte mezizubní kaz?

Nejprve - nečekat. Pokud máte bolest, citlivost nebo krvácení dásní, jděte k zubaři. Nejde o to, jestli to „ještě nevadí“. Kaz se nezastaví sám. Čím dříve ho zjistíte, tím jednodušší je léčba.

Zubař nejprve udělá rentgen. Pokud je kaz malý a ještě jen ve sklovince, stačí jen odstranit poškozenou část a zaplnit ji plombou. To je rychlé, bezbolestné a levné.

Pokud je kaz hlubší a dotýká se dentinu, je třeba odstranit větší část zubu a dát plombu, která je větší a pevnější. Pokud se kaz dostal k nervu, je potřeba kořenové léčení - a to je náročnější, delší a dražší.

A pokud už je zub zcela zničený? Pak se musí vytažit. A to už není jen o zubu - chybějící zub způsobí, že ostatní se posunou, změní se úsmev, může dojít k problémům s čelistí a žvýkáním.

Jak mezizubní kaz předcházet?

Nejlepší léčba je prevence. A není to těžké - jen potřebujete dělat tři věci pravidelně:

  1. Čistěte mezery mezi zuby každý den - alespoň jednou. Nit nebo mezizubní kartáček? Oba fungují. Nit je lepší pro úzké mezery, kartáček pro širší. Pokud nevíte, co je pro vás lepší, zeptejte se zubaře. Většina lidí používá nit jen párkrát za měsíc - to je příliš málo.
  2. Používejte zubní pastu s fluoridem - fluorid posiluje sklovinku a brání kyselinám, aby ji rozkládaly. Nezapomeňte, že i „naturální“ pasty bez fluoridu nejsou lepší - jsou jen méně účinné.
  3. Chodíte k zubaři každých 6 měsíců - ne jen když bolí. Rentgen každých 12-18 měsíců odhalí kaz, který ještě nevidíte a který nebojí. Většina lidí si to nechává na „když bude čas“. Ale čas se nevrátí - a kaz se rozšíří.

Nezapomeňte také na stravu. Sladké nápoje, cukrovinky, sušenky a dokonce ovoce - všechno toto dává bakteriím potravu. Pokud jednou denně sníte sladké, nechte to být za jeden příjem jídla - ne roztroušené po celý den. Každý vstup cukru znamená 20 minut kyselého útoku na zuby.

Ruka držící nit mezi zuby s mikroskopickým zobrazením bakterií ničících zubní sklovinku.

Co se stane, když mezizubní kaz ignorujete?

Ignorování mezizubního kazu není jen o ztrátě zubu. To je jen začátek.

Když se kaz rozšíří na dásně, může způsobit parodontitidu - zánět tkání, které drží zub v čelisti. To je nevratný proces. Zuby se začnou hýbat, dásně se stahují, zuby se vystavují a vypadají starší. A pak - ztráta zubů. A to už nejde jen o estetice. Chybějící zuby znamenají problémy s žvýkáním, problémy s řečí, a dokonce i změny ve tváři - protože kost čelisti se začne rozpadat.

A co je horší? Kaz se může šířit na sousední zuby. Jeden mezizubní kaz může být začátek celého řetězu - jeden zub zničený, pak další, pak další. A to všechno jen proto, že jste nečistili mezery mezi zuby.

Co dělat, když neumíte používat nit?

Nejste jediný. Mnoho lidí říká: „Nemůžu to. Není to pro mě.“ Ale existují alternativy.

  • Mezizubní kartáček - malý kartáček na tyčince, který se vejde mezi zuby. Některé jsou dokonce s gumovým držákem, který je snazší držet.
  • Hydromoderní čističky - vodní proud, který vyčistí mezery. Není to náhrada za nit, ale pomáhá, když máte zubní náhrady nebo ortodontické dráty.
  • Mezizubní vložky - jednorázové vložky, které se vloží mezi zuby a odstraní plak. Jsou jednodušší než nit, ale nejsou tak účinné.

Není důležité, jak to děláte - důležité je, že to děláte. Každý den. Ať už to je nit, kartáček nebo proud vody - to, co děláte, je víc než čištění. Je to ochrana vašich zubů na následujících 20 let.

Co si pamatovat?

Mezizubní kaz se neobjeví náhodou. Vzniká z opakování malých chyb - nečištění mezery, přehlížení rentgenu, nesprávná strava. Ale jeho prevence je jednoduchá. A výsledek? Zuby, které vám slouží celý život.

Nečekáte, až vás zub bolestí. Zkontrolujte si mezery mezi zuby dnes. Použijte nit. Příští týden jděte k zubaři. A nechte si udělat rentgen. To je jediný způsob, jak vědět, jestli máte mezizubní kaz - a jestli ho máte, tak ho zastavit, než bude pozdě.

Jak vypadá mezizubní kaz na začátku?

Na začátku mezizubní kaz nevypadá vůbec nic - nevidíte ho, nebojíte se. Jen na rentgenovém snímku je vidět jako tenká tmavá čára mezi zuby. Je to jen poškození sklovinky, ještě bez bolesti. To je přesně ta chvíle, kdy je léčba nejjednodušší.

Může mezizubní kaz způsobit zápach z úst?

Ano. Když se kaz rozšíří do dentinu, vzniká tam místo, kde se hromadí bakterie a rozkládají se zbytky jídla. Tyto bakterie produkují zápach, který není odstranitelný čištěním zubů. Pokud máte trvalý zápach z úst, i když čistíte zuby a používáte ústní vodu, měli byste se podívat na zuby - možná je příčinou mezizubní kaz.

Je možné mezizubní kaz vyléčit doma?

Ne. Kaz je bakteriální infekce, která rozkládá tkáň zubu. Žádná past, voda nebo přírodní prostředek to nezastaví. Domácí metody mohou jen zpomalit rozvoj, ale nevyléčí. Jediná účinná léčba je u zubaře - odstranění poškozené části a zaplnění plombou.

Kolik stojí léčba mezizubního kazu?

Cena závisí na stupni poškození. Malý kaz na začátku - plomba stojí okolo 800-1 500 Kč. Hlubší kaz, který už se dotýká dentinu - plomba 1 500-2 500 Kč. Pokud je potřeba kořenové léčení, cena stoupne na 3 500-6 000 Kč. Vytažení zubu stojí 1 000-2 000 Kč, ale následná náhrada (most, implantát) může stát 10 000 Kč a více. Nejlevnější je prevence - nit a pravidelná kontrola.

Je nutné čistit mezery mezi zuby, i když jsem mladý?

Ano. Mezizubní kaz se objevuje i u dětí a dospívajících. Většina lidí začíná mít mezery mezi zuby v dospělosti, ale když se zuby dotýkají - ať už jste 15 nebo 55 - tam se může kaz začít tvořit. Čištění mezery je stejně důležité jako čištění zubů - a to už od prvního trvalého zubu.